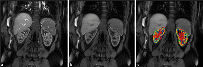
Mri Scan In Tumkur : It produces pictures from angles all around the body and shows up soft tissues very clearly.